Advancing Precision-Driven Treatment with AI Imaging
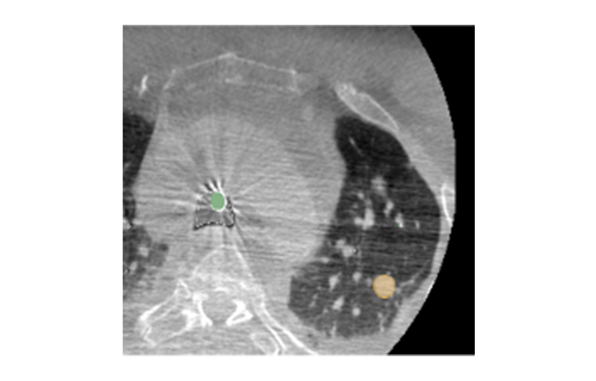
Built on advanced capabilities in lung segmentation and quantification, our AI technology interprets thoracic CT data with anatomical precision - capturing airway trees, parenchymal patterns, and vascular structures, even in severely diseased lungs.
These insights enable next-generation support for minimally invasive interventions across clinical treatment pathways, targeting pulmonary conditions such as emphysema, lung cancer, and chronic airway disease.
Target Identification & Treatment Selection
Treatment Strategy & Navigation Path Planning
Intra-Operative Guidance & Decision-Making Support
Post-Operative Assessment & Treatment Follow-up
By combining robust Deep Learning methods with tailored software solutions, our technology bridges the gap between imaging and personalized intervention - empowering interventional devices, navigation systems, and robotic platforms.
Technological Capabilities to Accelerate Innovation
Designed to push the boundaries of what is clinically possible, our proprietary technology, anchored in the LungQ® technology platform, is available for integration through custom development partnerships with MedTech companies advancing minimally invasive interventional therapies.
Providing a robust foundation for next-generation solutions powered by AI, we support partners throughout their innovation journey - from preclinical exploration to clinical trials, regulatory alignment, and clinical integration.
Examples of core capabilities that provide complementary detailed, procedure-relevant insights include:
- Segmentation of anatomical structures up to sub-segmental level
- Quantitative analysis of complex lung patterns and diseased regions
- Anatomical mapping to support navigation planning and guidance
The modular capabilities can be integrated into early-stage R&D projects and further developed toward regulatory and clinical readiness. LungQ® software modules can be then embedded into interventional systems and clinical workflows to support, advancing personalized procedural planning and intra-operative guidance for high-precision lung interventions, as well as enabling longitudinal post-procedural assessment.
All capabilities are powered by algorithms trained on disease-specific datasets and built to deliver consistent performance - robustly handling scan variability and complex patient anatomies with confidence.
OEM-Ready Application-Specific Solutions
Thirona offers AI imaging software solutions composed of combined high-performance capabilities from our advanced technology portfolio, purpose-built to support locally targeted bronchoscopic and surgical interventions across key therapeutic areas.
These solutions are designed for integration into clinical decision-support environments, with flexible implementation pathways based on system architecture and intended use. They deliver quantitative, anatomically precise insights to support:
-
Treatment target identification
-
Patient selection and eligibility assessment
-
Pre-operative planning of virtual bronchoscopy pathways
-
Post-treatment evaluation and response monitoring
Specifically optimized to support interventions across key therapeutic areas, Thirona’s AI software is ready to be applied to a range of targeted treatment approaches, such as:
Emphysema / Hyperinflation
- BLVR Implants
- Parenchymal Ablation
- Surgical Tissue Resection
Chronic Airway Disease
- Mucus Clearance
- Chronic Bronchitis Ablation
Lung Cancer
- Peripheral Lung Nodule Biopsy
- Tumor Ablation
- Local Drug Delivery
- Segmentectomy
Built on proprietary capabilities protected by Thirona’s intellectual property, the solutions incorporate rigorously validated technologies to ensure lasting value, performance reliability, and optimal outcomes for both clinicians and patients. Ongoing research and continuous clinical feedback fuel the development of novel and derivative solutions – advancing our commitment to personalized, data-driven pulmonary care.
*Thirona’s LungQ® technology platform offers a portfolio of measurements and analytical capabilities intended either for clinical use or clinical research. Availability and intended use of the analysis may vary by geography. Please contact us for further information regarding the latest regulatory status in your specific market and its applicability to your use case.
Scalable Partnerships
Whether advancing next-generation therapies, enhancing image-guided navigation tools, or powering robotic bronchoscopy platforms, Thirona’s AI technology can be adapted to align with diverse development roadmaps and system architectures.
With flexible delivery models and a portfolio that includes both ready-to-integrate applications and custom-developable capabilities, Thirona enables partners to deliver more precise, personalized, and efficient pulmonary interventions.














