Blackford and Thirona Partner to Enhance Lung Image Analysis
admin2024-08-20T10:02:01+00:00Blackford and Thirona announce a commercial partnership to bring the LungQ™ solution to healthcare professionals via the Blackford Platform.
Blackford and Thirona announce a commercial partnership to bring the LungQ™ solution to healthcare professionals via the Blackford Platform.
Voiant and Thirona have entered a global commercial partnership to provide full scope integral services for clinical trials (with AI-powered lung image analysis), building further on several years of a fruitful cooperation.
Thirona has received U.S. Food and Drug Administration (FDA) 510(k) clearance for the latest update of its AI-based clinical software LungQ™ (v3.0.0)
MedTech companies Aidence, Incepto, and Thirona jointly introduce a comprehensive AI-powered software package for lung cancer screening and the analysis of emphysema
Thirona is thrilled to have secured €7,5 Million ($8 Million) of financing from HERAN Partners, Borski Fund and the EIC.
Following the second 2023 EIC Accelerator cut-off in March, Thirona is awarded to receive European Innovation Council (EIC) funding.
Thirona’s AI-Based LungQ™AVX Reveals New Potential for Treatment of Vascular Diseases.
Following the growing market demand and recent expansion of RetCAD™, Thirona decided spins it out as per January 1st,
2 abstracts of major importance for advancing the treatment of pulmonary vascular diseases, and pulmonary hypertension in particular, were presented today at ATS 2023 International Conference in Washington by Julien Guiot from CHU de Liège.
Bringing AI into clinical care through integration partnerships with Philips & Incepto.
On November 24th the matchmaking in healthcare event took place, organized by the Netherlands AI coalition
AI significantly increases efficiency in predicting the risk of deterioration of the COVID-19 patient’s condition.
Thirona is awarded ISO 27001 and NEN 7510 certifications.
American Thoracic Society 2022 was a great opportunity to meet the respiratory expert community
We are very glad to announce that prof. Tiddens has joined Thirona.
Amazon Web Services grants Thirona AWS Promotional Credit under the DDI Program.
Read the new paper on the added value of AI-based lung segmentation and VR technology in lung cancer surgery planning.
Thirona is present during the congress of the American Thoracic Society from May 14-19.
Thirona developed an AI algorithm that revolutionizes cystic fibrosis (CF) care.
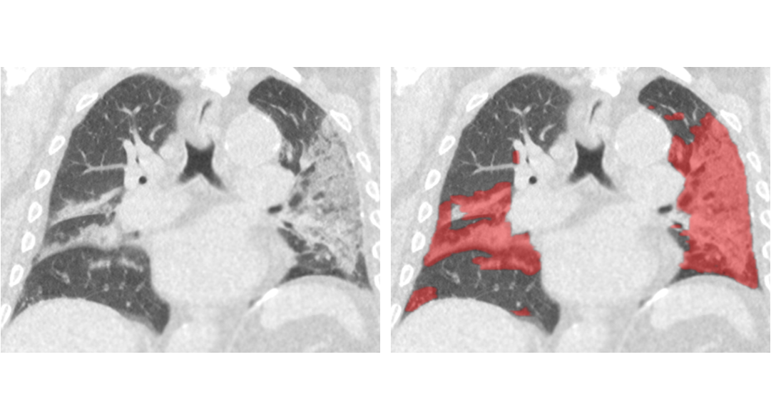
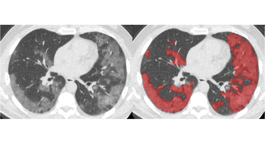
Healthcare professionals at Leiden University Medical Centre can now use artificial intelligence to quickly and easily calculate whether a corona patient has suffered serious lung damage.
Due to COVID-19 further spread worldwide, we prepared an update on our work to better bridge the gap between medical image analysis and clinical use-ability.
Our CAD4COVID software will help to assess affected lung tissue in COVID-19 patients.
CAD4COVID-CT can now help even more people with the permission from the FDA.
We are especially proud to announce that Thirona successfully implemented the requirements and is now certified against the new MDR.
The patent allows Thirona to develop an AI algorithm that will analyse CT scans to identify even the smallest abnormalities in the lungs, especially early on, ensuring that the right treatment can follow.
Public-private consortium P4O2 together with Thirona investigates risk factors for developing lung damage and chronic complaints after COVID-19
MedicalVR has integrated Thirona's chest CT analysis software in their virtual reality application PulmoVR.
With the COVID-19 pandemic ongoing, Thirona starts a new collaboration to further improve and accelerate the detection of the virus.
Thirona is present at the online congress of the European Society of Radiology (ECR) which is held from July 15-19.
Artificial intelligence tool CAD4COVID-XRay can perform comparably to radiologists in triaging suspected COVID-19 cases by analysing chest X-rays.
We are honoured that CAD4COVID has been nominated for the Top 10 innovation at COVID-19 Innovation Challenge 2020 organized by the UNECA.
We look forward to working with our users in New Zealand on the analysis of their retinal images.
Our Notified Body has granted CE certifications for both our CAD4COVID-CT and CAD4COVID-XRay solutions.
We look forward to working with our South Korean users on quantitative analysis of their chest CT scans.
We are proud to launch CAD4COVID-CT, our artificial intelligence software for the analysis of COVID-19 on CT scans.
Thirona has screened over 6 million people in 40 countries with its proven CAD4TB solution.
Thirona became 6 years old today, so it was time to celebrate with some cake.
Thirona is in a collaboration with the RadboudUMC and Quirem in the project Radiology of the Future, sponsored by the EFRO.
Thirona's lung quantification software picks up progression in emphysema and air trapping over 5 years in smokers with and without COPD.
RetCAD is validated in a scientific study and is also approved for clinical use in Singapore.
Thirona will start a pilot study in collaboration with Dr. Toam Katz from the Medical Center Hamburg-Essendorf (UKE).
Rudolfs Latisenko, data scientist at Thirona, presented our deep learning approach for reducing dose-related noise on low dose CT at the COPDGene 2019.
Local newspaper "de Gelderlander" visited Thirona to talk about our research collaboration with ThiraLab (the article is in Dutch).
We are present at the ERS conference from 29 September until 2 October. Our booth is at V19, so come by to learn more about our ChestCT solutions. So come take a flyer and a pen!
The Thira Lab, a collaboration between Thirona, Delf Imaging Systems and the Radboud UMC, has been opened! In this lab 6 PhD candidates and 3 post-docs will work on AI research for medical imaging with a focus on CT scans of the lungs, and Xrays of the retina and chest.
From 15-18 September Thirona is present at the ESCRS 2019 conference in Paris. Come and visit our booth at D141 for more information about our Retina solutions.